Cuando la implantología convencional falla: el costo de un mal diagnóstico en pacientes de avanzada edad
Por: Centro de formación Cibeles 3D
Especialistas en formación avanzada en implantología cortical y compresiva
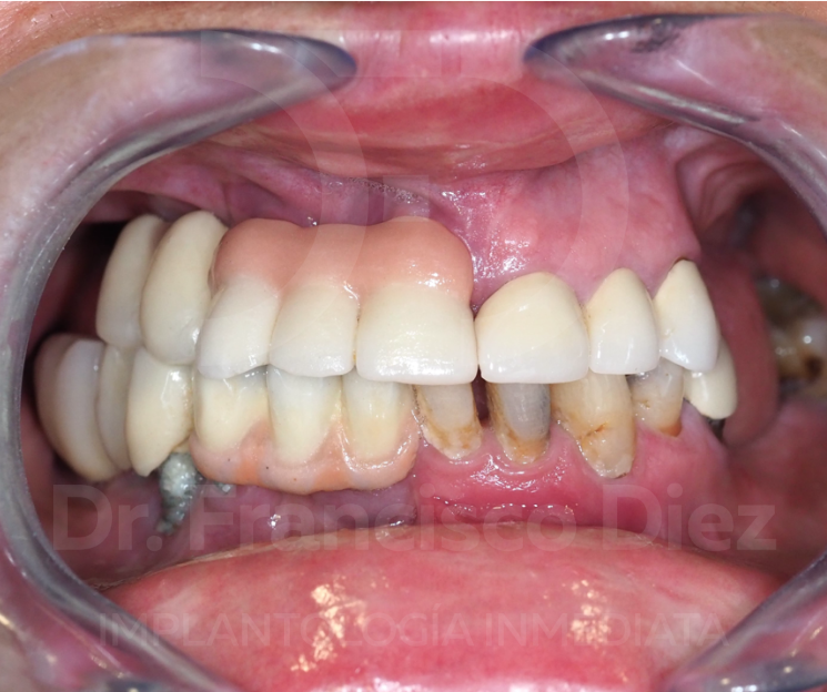
Recibimos con frecuencia a pacientes de avanzada edad que acuden con un problema común, pero devastador: molestias en la boca que les imposibilitan comer bien, alteran su vida cotidiana y afectan su estado general. No se trata solo de una dificultad funcional. Detrás de cada mueca de dolor hay también un golpe al estado de ánimo. Muchos de ellos han dejado de sonreír por el aspecto negativo de sus dientes, avergonzados ante su propia imagen.
Lamentablemente, este sufrimiento suele tener un origen evitable: un mal diagnóstico y un tratamiento erróneo. En lugar de solucionar el problema, muchos pacientes reciben rehabilitaciones bucales que, con el paso de los años, derivan en múltiples problemas infecciosos y estéticos. Lejos de mejorar, su situación se agrava. Y las consecuencias de una mala elección clínica no son solo estéticas: afectan la salud oral, la salud general y la psicológica. Al ver un panorama desolador, sin esperanza de mejora, muchos terminan abandonándose hasta que la situación se vuelve insostenible.
Veremos el caso clínico de un paciente de avanzada edad que llegó con estos problemas: no podía comer, ni sonreír, tras un mal diagnóstico y tratamiento erróneo.


Un factor crítico que agrava este escenario es la enfermedad periodontal. Las personas con predisposición a esta condición suelen terminar desarrollando periimplantitis cuando reciben implantes convencionales. El resultado es un empeoramiento muy significativo de su salud bucal. Intentar volver a colocar el mismo tipo de implante sería un gravísimo error, que conllevaría múltiples intervenciones, largas esperas y, a menudo, un resultado dudoso.



Frente a este panorama, existe una solución diferente: los implantes monofásicos corticobasales de carga inmediata. Su gran ventaja es que no requieren regenerar hueso. Trabajamos con el hueso basal, el que siempre está ahí, sin necesidad de incisiones complejas. En una sola intervención mínimamente invasiva favorecemos la curación y el crecimiento óseo. Y lo más importante: en 24 horas el paciente puede volver a comer cómodamente y a sonreír con confianza, sin inflamación, sin dolor y con un postoperatorio casi inexistente.


Pero esta solución no está al alcance de cualquier profesional. Solo los dentistas que dominan las técnicas avanzadas en implantología pueden ofrecer resultados inmediatos para todos los pacientes, incluso los más complejos, y resolver los problemas que la implantología convencional no puede.

¿Quieres ser uno de esos dentistas capaces de transformar vidas como la de este paciente en solo 24 horas?
En cibeles3d te formamos en implantología monofásica compresiva y corticobasal con un método 100% digital, cirugía en vivo y tutoría personalizada.
Inscríbete ahora al curso y aprende a rehabilitar casos complejos, incluso con atrofias extremas, y a devolver la sonrisa y la calidad de vida a tus pacientes desde el día siguiente de la cirugía.
👉 Descubre más y reserva tu plaza aquí


