Por: Centro de formación Cibeles 3D
Especialistas en formación avanzada en implantología cortical y compresiva
En el mundo de la implantología dental, uno de los mayores desafíos es rehabilitar dientes con infección activa y pérdida ósea alveolar. Los implantes convencionales suelen requerir tiempos de espera y procedimientos regenerativos complejos. Sin embargo, gracias a técnicas avanzadas como la implantología córticobasal, es posible ofrecer carga inmediata incluso en condiciones clínicas adversas.
Hoy presentamos un caso clínico que demuestra por qué todo odontólogo en México debe actualizarse con cursos de implantología dental que incluyan estos sistemas.




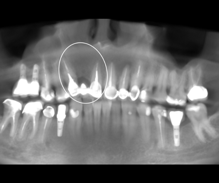
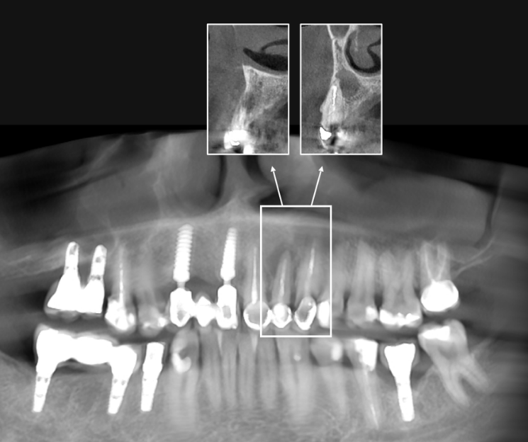
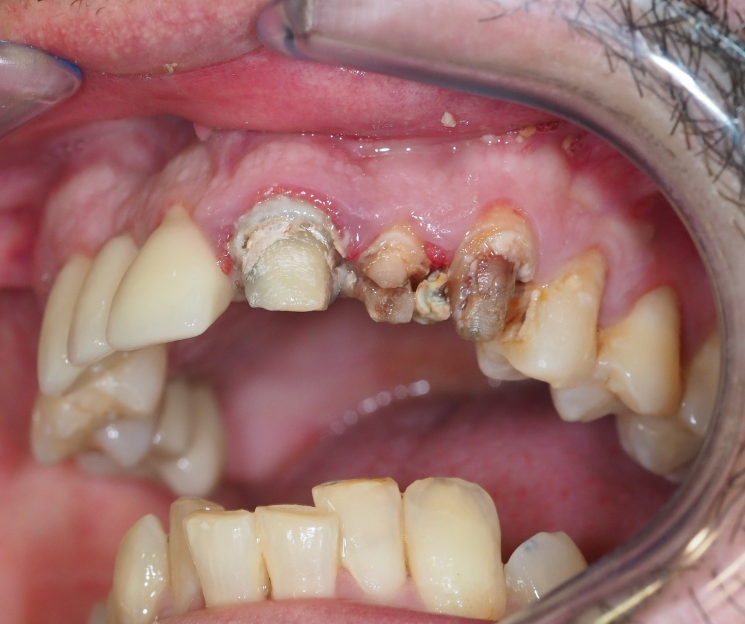
Extracción de piezas 21, 22 y 23 con infección activa
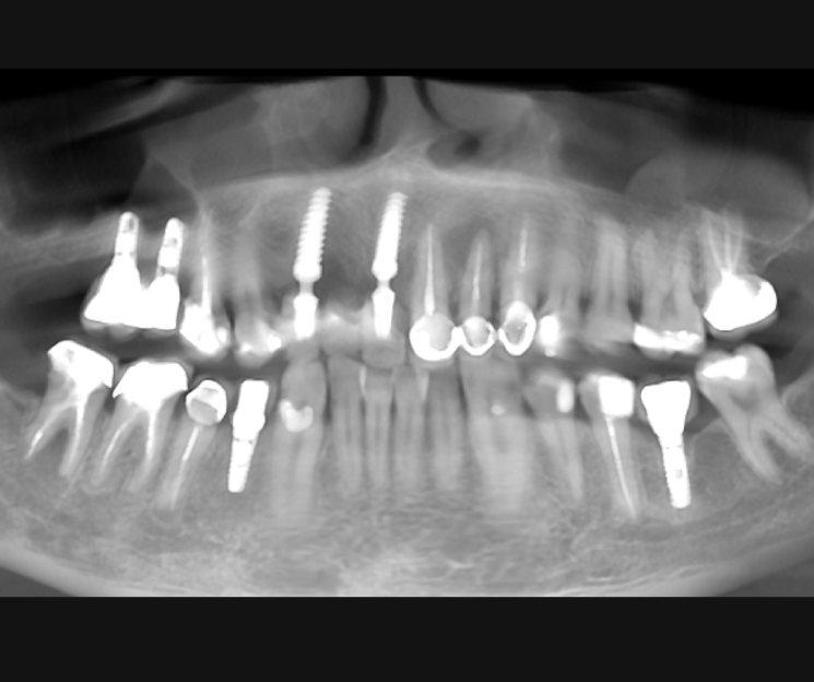
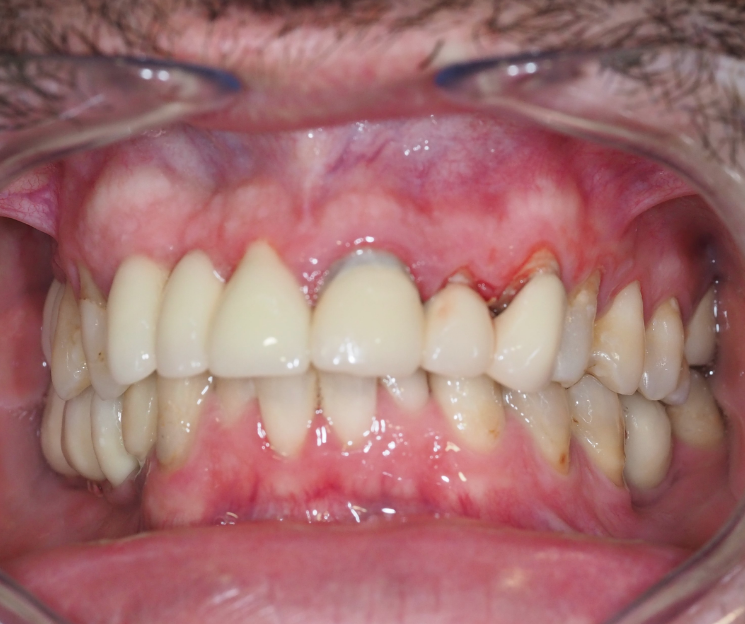
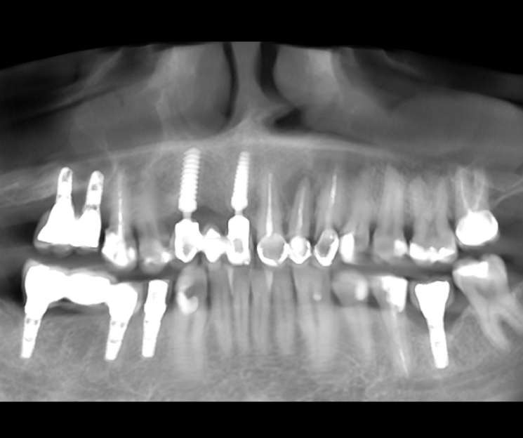
Paciente con infecciones de origen dental que comprometían severamente el hueso alveolar en la zona anterior superior. Se realizó la extracción de los dientes 21, 22 y 23, y se optó por una rehabilitación inmediata mediante implantes córticobasales.




Estrategia protésica e implantes utilizados:
- 1 implante córticobasal compresivo
- 2 implantes córticobasales rectos y finos
Esta combinación permitió anclar los implantes en hueso cortical, que mantiene su estabilidad incluso en presencia de procesos infecciosos en el hueso alveolar. El resultado: rehabilitación funcional y estética el mismo día de la cirugía.




¿Por qué elegir implantes córticobasales en lugar de convencionales?
Los implantes convencionales dependen de hueso esponjoso sano, el cual se pierde rápidamente ante infecciones. En contraste:
| Característica | Implante convencional | Implante córticobasal |
|---|---|---|
| Anclaje principal | Hueso esponjoso | Hueso cortical (estable) |
| Requiere regeneración ósea | Frecuentemente sí | No necesariamente |
| Carga inmediata | Limitada | Posible incluso con infección |
| Tiempo de tratamiento | 4–8 meses | Días a semanas |



“El éxito del tratamiento depende en gran medida de saber cuándo utilizar cada tipo de implante”
La importancia de la formación avanzada en implantología
Este caso clínico refleja una realidad cotidiana en consultorios mexicanos: pacientes con infecciones, poco hueso y necesidad de soluciones rápidas. Para abordarlos, no basta con la implantología tradicional.


Es fundamental contar con una formación avanzada y específica en sistemas compresivos y córticobasales.
¿Dónde capacitarte en México?
En Cibeles3D, bajo la dirección del Dr. Francisco Díez, Master Teacher certificado por la INTERNATIONAL IMPLANT FOUNDATION, aprenderás:
- Principios de implantología compresiva y córticobasal
- Planificación de casos complejos con carga inmediata
- Uso combinado de distintos sistemas de implantes
- Rehabilitación sin injertos óseos ni largas esperas
“Cada paciente presenta un contexto clínico diferente. La formación te permite ofrecer tratamientos adaptados a cada perfil, asegurando que el paciente nunca permanezca sin dientes durante el proceso terapéutico.”
Beneficios de tomar un curso de implantología dental en México con enfoque cortical
| Beneficio | Impacto en tu práctica |
|---|---|
| Carga inmediata en infección | Más pacientes aceptan tratamiento |
| Menor necesidad de injertos | Reduce costos y tiempos |
| Casos antes rechazados | Amplía tu cartera de servicios |
| Respaldo internacional | Mayor confianza y resultados |
Conclusión: La implantología del futuro ya está aquí
La rehabilitación postextracción de los dientes 21, 22 y 23 con implantes córticobasales no es un caso aislado. Es un ejemplo claro de cómo la odontología moderna puede resolver situaciones complejas de forma inmediata, estética y funcional.
Si deseas dominar estas técnicas y posicionarte como un implantólogo de vanguardia en México, la formación continua es tu mejor inversión.
📌 Próximos cursos presenciales con el Dr. Francisco Díez – Master Teacher de la INTERNATIONAL IMPLANT FOUNDATION
📍 Disponibles para odontólogos de toda la república.
Preguntas frecuentes (FAQ)
¿Puedo colocar implantes córticobasales sin experiencia previa?
Se recomienda tomar un curso práctico antes. La técnica es diferente a la implantología convencional.
¿Son más caros los implantes córticobasales?
Su costo puede ser similar o incluso menor al evitar injertos óseos y reduciendo tiempos de tratamiento.
¿Dónde puedo ver más casos clínicos como este?
En los programas de formación de Cibeles3D se incluyen decenas de casos con seguimiento a 5 años.
¿Listo para dar el siguiente paso?
🔗 Contáctanos para recibir la guía completa de cursos de implantología dental en México.


