El reto clínico
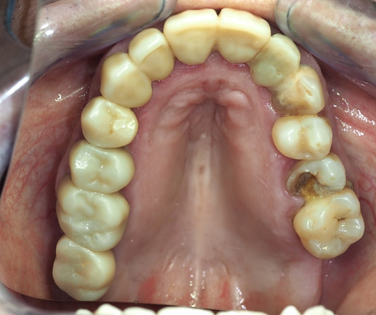
«La pérdida de una pieza dental, especialmente en una zona visible como la del premolar superior (diente 25), no solo afecta la función masticatoria, sino también la estética y la confianza del paciente. En este artículo, presentamos un caso clínico donde la clave fue la inmediatez y la estabilidad.»
Resumen del caso:
- Paciente: Paciente sin patologías relevantes 39 años.
- Diente afectado: 25 (primer premolar superior izquierdo).
- Diagnóstico: Indicación de exodoncia.
Plan de Tratamiento
La elección del implante:
Se optó por un implante monofásico compresivo. La indicación se basó en dos criterios fundamentales:
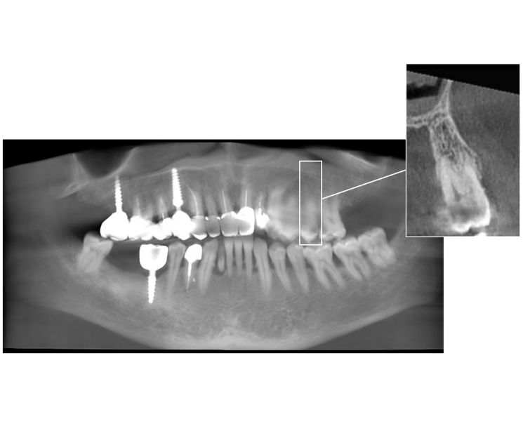
- Volumen óseo adecuado: Existencia de un lecho receptor con hueso sano.
- Búsqueda de estabilidad primaria: Este tipo de implante permite condensar el hueso esponjoso durante la inserción, aumentando su densidad y logrando una excelente estabilidad primaria, requisito indispensable para la rehabilitación inmediata.
Procedimiento Quirúrgico
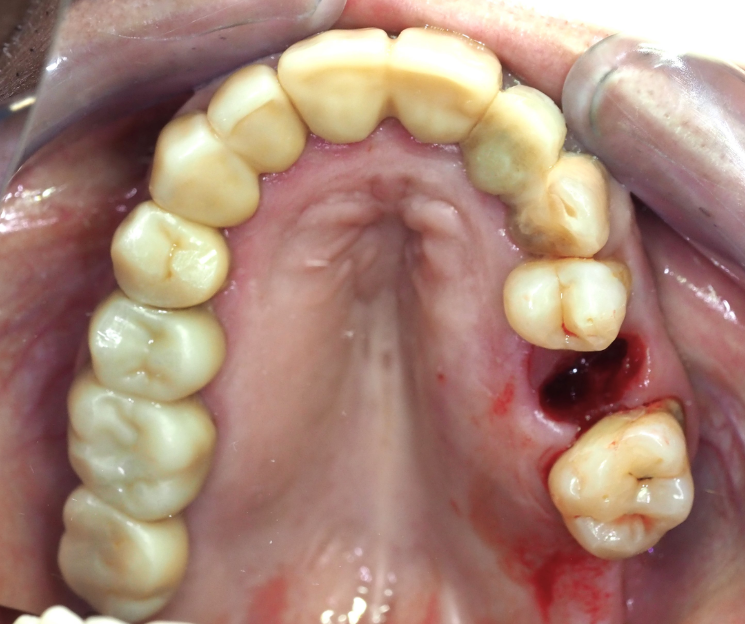
Extracción e inserción inmediata:
- Extracción atraumática: Se realizó la exodoncia del diente 25, preservando al máximo las estructuras óseas.
- Colocación del implante: Se procedió a la inserción del implante monofásico compresivo en el mismo acto quirúrgico.
- Estabilidad: Gracias a la condensación ósea lograda, se obtuvo una fijación óptima que permitió la carga inmediata.




Rehabilitación Inmediata
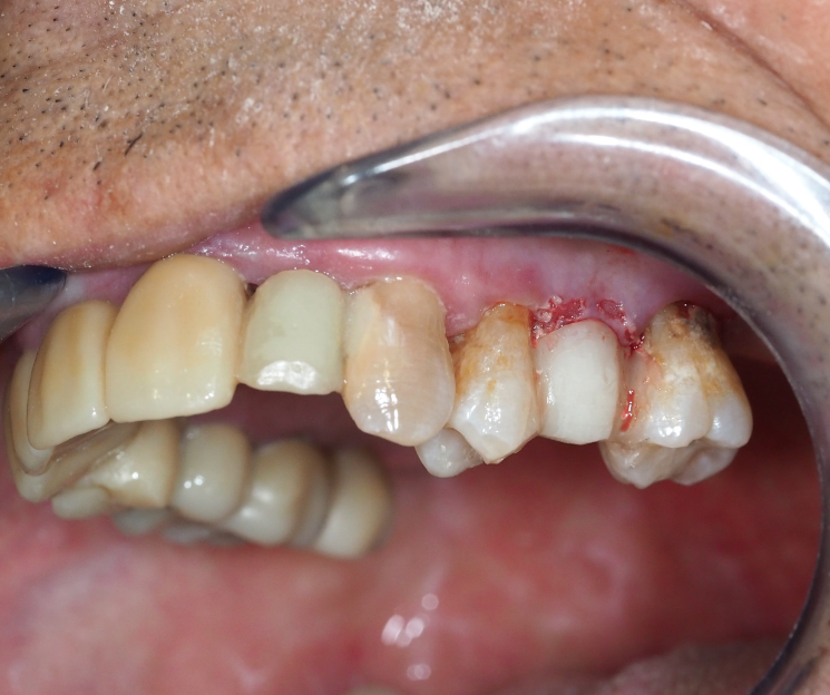
Manteniendo la función y la estética:
Una de las máximas de nuestra filosofía de tratamiento es no dejar nunca al paciente sin dientes. Por ello, tras la cirugía, se colocó una rehabilitación provisional que permitió al paciente:
- Mantener la estética en la zona anterior/posterior.
- Conservar la función masticatoria durante el periodo de osteointegración.
- Evitar el periodo de espera desdentado.




Se realizará un seguimiento hasta la colocación de la corona definitiva de circonio tras la regularización de los tejidos blandos.
¿Por qué no todos los implantes son iguales?
Este caso es un claro ejemplo de la importancia del diagnóstico personalizado. No todos los pacientes presentan las mismas condiciones óseas ni las mismas necesidades terapéuticas.
- Clave del éxito: Seleccionar el implante adecuado para el tipo de hueso y la situación clínica.
- Error común: Utilizar un único tipo de implante para todos los casos.
- Ventaja de los implantes compresivos: Son ideales para huesos esponjosos o de baja densidad, ya que transforman el lecho receptor aumentando su densidad, facilitando la carga inmediata y acortando los tiempos de tratamiento.



La Importancia de la Formación Especializada
Tomar este tipo de decisiones con seguridad no es improvisación; es el resultado de una formación especializada y actualizada.
En este caso, el conocimiento aplicado se sustenta en la formación en Cibeles3D de la mano del Dr. Francisco Díez, Master Teacher por la INTERNATIONAL IMPLANT FOUNDATION. Esta formación proporciona las herramientas necesarias para:
- Conocer en profundidad los distintos tipos de implantes.
- Dominar técnicas de implantología avanzada.
- Saber elegir cuándo utilizar un implante compresivo y cuándo optar por otras soluciones.
La filosofía de tratamiento debe ir siempre orientada a ofrecer soluciones funcionales, estéticas y mínimamente invasivas. La posibilidad de realizar extracciones y cargas inmediatas, como en este caso del diente 25, nos permite garantizar que el paciente recupere su sonrisa sin interrupciones en su vida diaria, manteniendo la calidad de vida durante todo el proceso.



