Rehabilitación Oral con Implantes Monofásicos
Mujer de 54 años con múltiples tratamientos restauradores en toda la dentición. En la arcada superior, todos los dientes presentaban tratamientos endodónticos y coronas metal-porcelana desde el diente 16 al 26, las cuales mostraban un evidente desajuste marginal, provocando caries recurrentes y gingivitis generalizada.

El estudio radiográfico evidenció múltiples áreas radiolúcidas periapicales compatibles con focos infecciosos crónicos. Ante este cuadro clínico, se decidió la exodoncia de todos los dientes de la arcada superior y la posterior rehabilitación mediante implantes córticobasales. Estos implantes se caracterizan por presentar una superficie lisa, lo que reduce la colonización bacteriana y el riesgo de periimplantitis, a diferencia de los implantes con superficies rugosas, además de permitir la carga funcional inmediata con prótesis fija.
Tras el análisis de la tomografía computarizada, se planificó la colocación de 10 implantes TPG, implantes monofásicos córticobasales compresivos. Este tipo de implantes permite el anclaje en hueso cortical y la condensación del hueso esponjoso, mejorando la densidad ósea, incrementando el torque de inserción y garantizando una elevada estabilidad primaria.


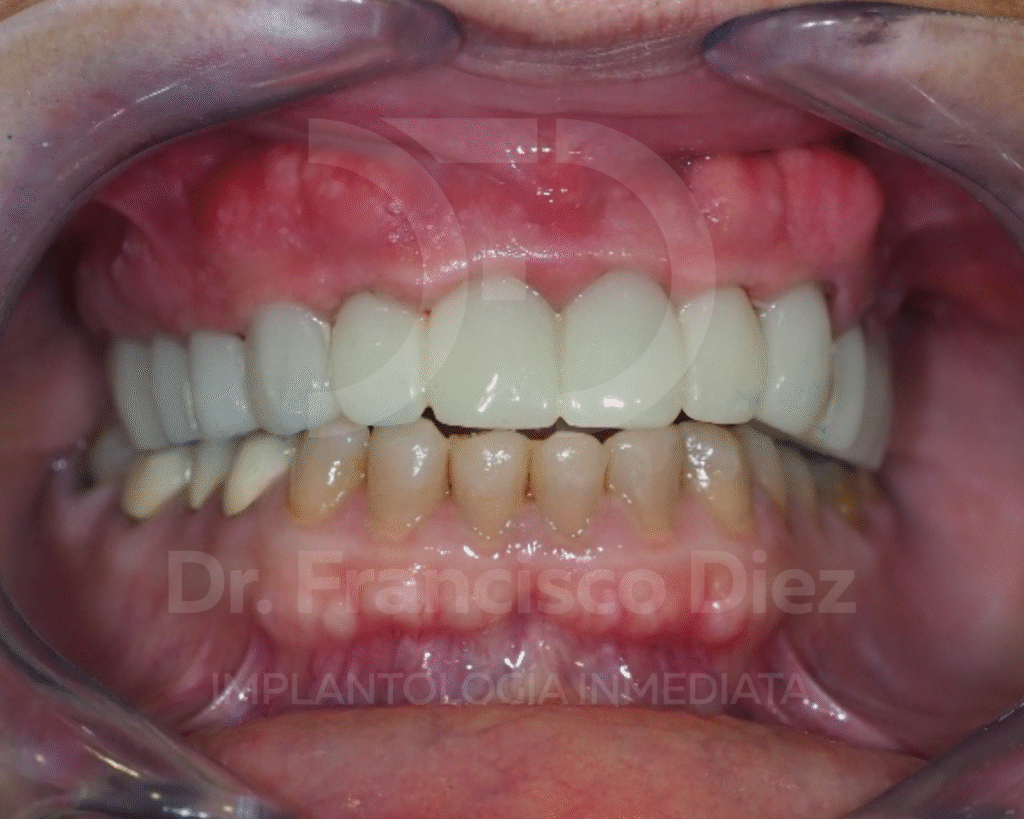
Inmediatamente después de la colocación de los implantes, se realizó el escaneado intraoral y se envió el registro para la confección de una prótesis fija provisional en PMMA, diseñada específicamente con los parámetros biomecánicos requeridos para este tipo de rehabilitaciones. Dicha prótesis fue cementada el mismo día de la intervención.


Este procedimiento demuestra importantes beneficios clínicos, ya que no requiere incisiones ni técnicas de regeneración ósea, favoreciendo una adecuada salud de los tejidos blandos. Además, la paciente presentó una notable mejoría estética y funcional a las 24 horas de la intervención, sin inflamación ni dolor postoperatorio.

