El Poder de la Estrategia: Rehabilitación Oral Completa en un Paciente Bruxista con Implantes Corticobasal
El paciente acudió a consulta presentando una alteración severa tanto funcional como estética. Clínicamente se observaban desgastes dentales generalizados provocados por bruxismo, ausencia de varias piezas dentarias en ambas arcadas, malposición dental, planos oclusales irregulares y una disminución notable de la dimensión vertical, lo que afectaba directamente a la masticación y a la armonía facial.



El estudio radiológico mediante tomografía computarizada reveló además implantes convencionales afectados con periimplantitis y un déficit óseo importante en las zonas posteriores del maxilar superior, lo que hacía inviable una rehabilitación mediante implantología convencional sin recurrir a injertos óseos y largos tiempos de espera.

Planificación personalizada
Tras una evaluación clínica y digital exhaustiva, se diseñó un plan de tratamiento multidisciplinar con el objetivo de devolver al paciente la función masticatoria, la estética dental y la dimensión vertical perdida.
Mediante registros digitales se establecieron los nuevos planos oclusales y se determinó el aumento adecuado de la dimensión vertical, teniendo en cuenta las cargas elevadas propias del bruxismo.
Tratamiento realizado
Rehabilitación de la arcada inferior
Se rehabilitó la arcada inferior mediante coronas de circonio de alta resistencia, ideales para pacientes bruxistas. Asimismo, se realizaron las extracciones de dos molares sobreerupcionados que interferían con la correcta oclusión.
Rehabilitación de la arcada superior con Implantología Estratégica Corticobasal®
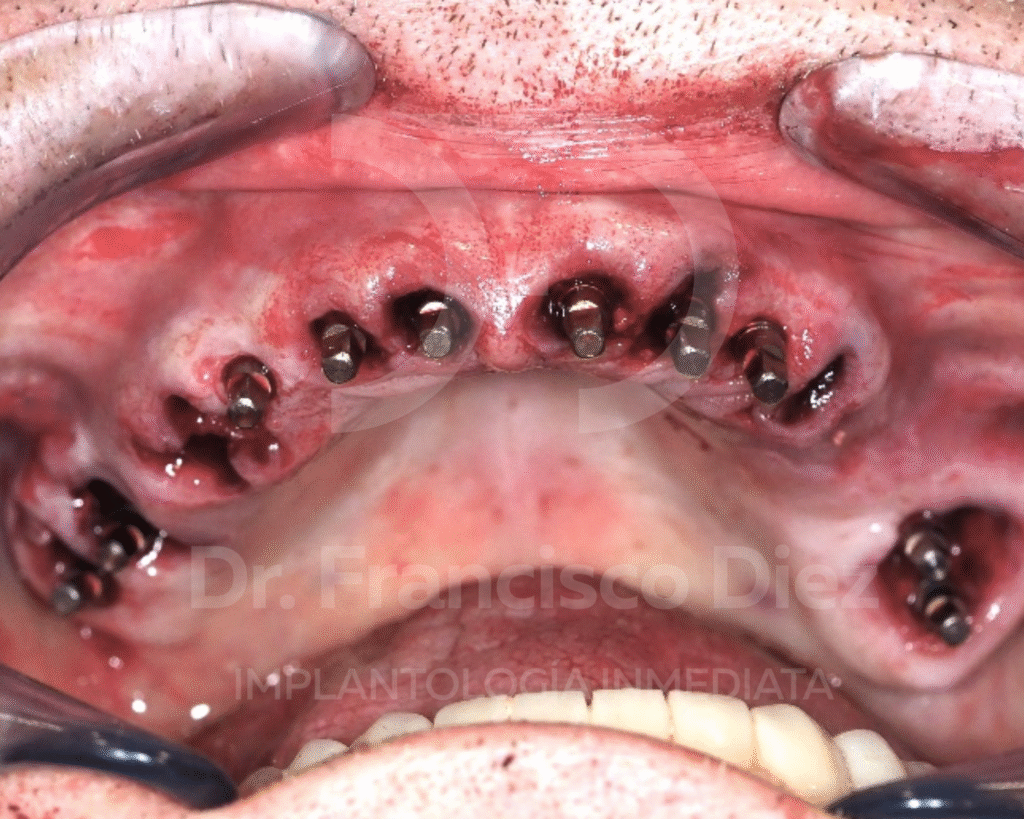
En una única intervención se procedió a la extracción de todos los dientes del maxilar superior y a la colocación inmediata de 10 implantes córticobasales BCS, anclados en hueso cortical. Esta técnica permite tratar casos con atrofia ósea severa sin necesidad de injertos, reduciendo de forma significativa la invasividad del tratamiento.


Prótesis fija inmediata
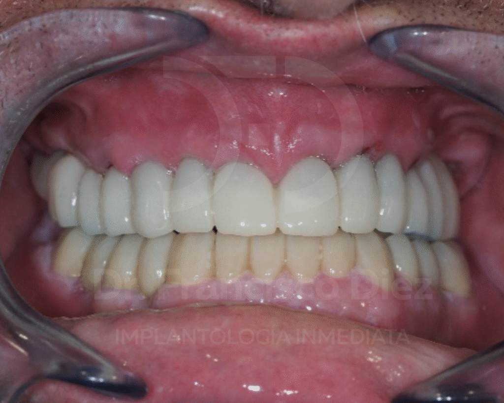
El mismo días de la intervención se colocó una prótesis fija provisional fabricada en PMMA, permitiendo al paciente recuperar la función masticatoria y la estética de forma inmediata.


Esta prótesis se utilizó durante 8 meses, periodo necesario para la remodelación ósea y la estabilización de los tejidos, y se remplazó por una prótesis de circonio con estructura de titanio.


Gracias al enfoque de Implantología Estratégica Corticobasal®, fue posible completar la rehabilitación en el mismo día, evitando procedimientos más invasivos como injertos óseos y reduciendo al mínimo la inflamación y el postoperatorio.
El paciente experimentó una mejora inmediata en la masticación, el aspecto estético y la calidad de vida, con una recuperación rápida y sin complicaciones.
Conclusión
La Implantología Estratégica Corticobasal® representa una solución eficaz y predecible para la rehabilitación oral completa en pacientes bruxistas con déficit óseo severo. Este enfoque permite devolver función y estética de forma inmediata, incluso en situaciones clínicas complejas, con un tratamiento más cómodo y seguro para el paciente.

